叢生・八重歯の矯正治療例(40代女性 8ヵ月)
執筆者:院長 歯科医師 永井伸頼
叢生・八重歯の治療例(Before&After)と解説

| 年齢・性別 | 40代女性 |
|---|---|
| 治療期間 | 8ヵ月 |
| 抜歯 | なし |
| 治療費(税込) | 440,000円 |
| 備考 | 治療方法:ストレートワイヤーテクニック+エッジワイズテクニック |
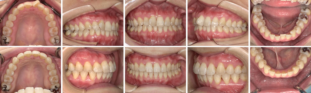
こちらの患者さまは上下の前歯がガタついている、上下の正中がずれているのを治したいとの主訴で来院されました。
上段が初診時の写真となります。上下顎前歯部に軽度~中等度の叢生が認められます。またそれらに伴い、上下前歯部正中のズレが認められます。通常通りにワイヤー拡大を行い、特に叢生量が多い上顎前歯部、中切歯の改善にあたっては、IPR法により歯を並べるためのスペースを獲得しました。正中のズレについても、叢生治療に伴い同時に改善することが出来ました。
4段階の太さのワイヤー拡大を行い、叢生が改善したあと、ワイヤーダウンと言って太くしたワイヤーを逆に細くしていきます。太いワイヤーで歯に力が加わっている状態から一気に力を開放すると後戻りの原因となりますので、ワイヤーを段々と細くしていき、徐々に力を開放します。
最後に顎間ゴムを使用して噛み合わせを緊密にして終了となります。8ヵ月の治療期間で終了となりました。
IPR法・・・歯のエナメル質を僅かに削り、歯幅を小さくすることによって、歯が収まるスペースを作り出す処置。


