上顎前突の矯正治療例(30代女性 治療期1年7ヵ月)
執筆者:院長 歯科医師 永井伸頼
上顎前突の治療例(Before&After)と解説

| 年齢・性別 | 30代女性 |
|---|---|
| 治療期間 | 1年7ヵ月(途中一時中断・再開) |
| 抜歯 | 無し |
| 治療費(税込) | 242,000円 |
| 備考 | 治療方法:上前歯部部分矯正(アライナー型矯正装置使用) |
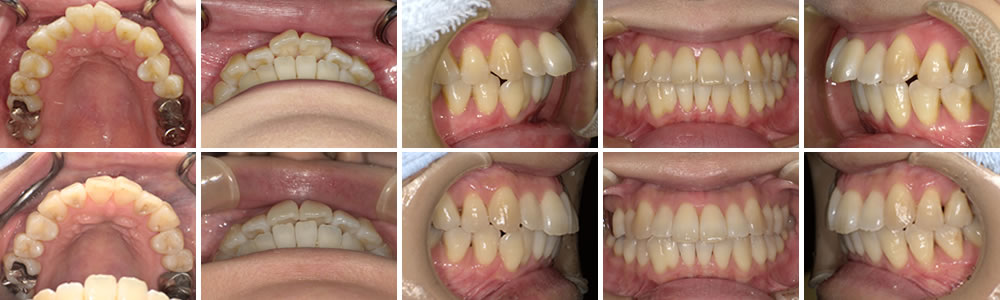
上段が初診時写真となります。著しい上顎前歯部の前突が認められます。今回は目立たないように矯正したいとの希望があり、アライナー(マウスピース型)矯正装置を用いたアライナー矯正治療となりました。
アライナー矯正装置はひとつの装置で歯を0.2~0.3mm程度しか動かすことができません。最低2週間装着が必要で、2週間以上経過後、次のアライナー装着となります。その繰り返しとなります。
また、出ている歯を中に入れる場合には、歯を中に入れるためのスペースが必要となります。そのため、IPR法といって歯と歯の間、一つの歯の片側面のエナメル質に限り0.2mm程度削合します。例えば矯正治療に2mm必要な場合には、0.2mmの削合を10か所から得ることで2mmのスペースを獲得することができます。しかしながら、この方法にも適応範囲があるために事前の診察が必要となります。
今回のケースでは途中に治療の中断もあり、後戻りもあったために時間と個数が増えました。下段写真のとおり、上記の期間、個数で終了となりました。
IPR法・・・歯のエナメル質を僅かに削り、歯幅を小さくすることによって、歯が収まるスペースを作り出す処置。


