高強度接着性CRブリッジによる破折した奥歯の回復症例
執筆者:院長 歯科医師 永井伸頼
高強度接着性CRブリッジによる破折した奥歯の回復症例
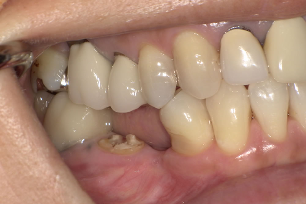
治療前

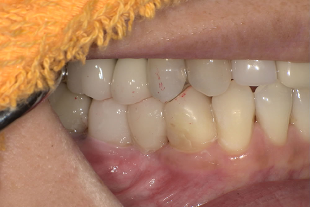
治療後

左側写真が術前写真となります。元はカンチレバーといって欠損部位に対する補綴装置で、 片側だけで繋がっているブリッジが装着されていました。支台となる第二小臼歯の破折のため、ブリッジを除去、その後、再度ブリッジ処置を希望されました。
元のようなカンチレバーは支台となる第二小臼歯に過度な負担がかかる恐れがあるために、 両隣在歯を用いたブリッジの選択となりました。しかしながら支台となる第一小臼歯が健全歯であるために、歯を削らずに治す方法を希望され、今回は、高強度接着性コンポジットレジン修復法を用いたブリッジでの欠損部回復を行いました。
右側写真が術後写真となります。両隣在歯と接着してあるため、第二小臼歯の負担過重を避け、加わる力を多数歯に分散させることで第二小臼歯の長期安定性を図ります。即日完了となります。
| 年齢・性別 | 40代女性 |
|---|---|
| 治療期間・回数 | 1日・1回 |
| 治療費(税込) | 高強度接着性コンポジットレジン修復 143,000円 |


