叢生・八重歯の矯正治療例(40代女性 1年9ヵ月)
執筆者:院長 歯科医師 永井伸頼
叢生・八重歯の治療例(Before&After)と解説

| 年齢・性別 | 40代女性 |
|---|---|
| 治療期間 | 1年9ヵ月 |
| 抜歯 | なし |
| 治療費(税込) | 495,000円 |
| 備考 | 治療方法:ストレートワイヤーテクニック+エッジワイズテクニック |
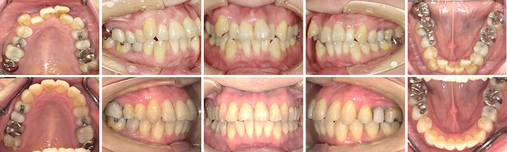
上段が初診時の口腔内写真となります。上下顎ともに著しい叢生が認められ、正中のズレも認められます。ディスクリパンシー(顎骨と歯列の大きさの不一致)が大きく、抜歯の対象となり得るケースですが、本人の抜歯をしたくないという強い希望により、非抜歯での治療となりました。
上顎にはゴムメタルを使用した固定式拡大装置を用いて積極的に拡大を行いました。下顎には0.36インチのゴムメタルワイヤーを用いたオーバーレイアーチを装着して歯列拡大を行いました。
通常通りニッケルチタンワイヤーにてレベリング(歯列の平坦化)を行いました。
その後、0.18×0.22インチゴムメタルワイヤーを使用して確実な歯体移動(歯を傾斜することなく平行に移動させる)と歯列拡大を継続します。
1年9ヵ月の治療期間で下段の写真のとおり終了となりました。


