開咬の矯正治療例(10代女性 治療期間1年7ヵ月)
執筆者:院長 歯科医師 永井伸頼
開咬(前歯が咬まない)の治療例(Before&After)と解説

| 年齢・性別 | 10代女性 |
|---|---|
| 治療期間 | 1年7ヵ月 |
| 抜歯 | なし |
| 治療費(税込) | 495,000円 |
| 備考 | ストレートワイヤーテクニック+エッジワイズテクニック |
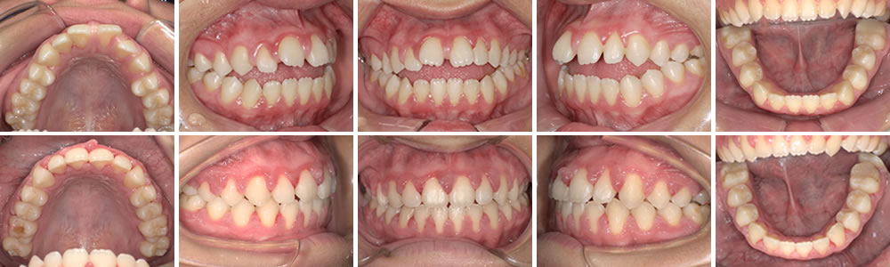
上段写真が初診時写真となります。前歯部から小臼歯部にかけて開咬が認められます。第一大臼歯のみで咬合している状態です。
摂食が不十分のため、咀嚼しないと嚥下できない種類のものは避けるようになり、味の濃い、もしくは糖分が多く噛まなくても飲み込みやすい食べ物を好むようになり、肥満傾向となっています。
初診時には開咬の原因要素でもある舌突出癖も認められましたが、年齢13歳とのことからトレーニングも容易に行え1~2ヵ月程度で改善しました。開咬症例に必要な毎日のゴム掛けもスムーズに行うことができ、2年未満で終了することができました。
しかしながら口腔清掃状態が悪く、歯肉の炎症が日常化して、下段写真でも確認できるように、歯肉炎や歯肉の退縮が認められます。矯正治療中は口腔内の環境が大きく変わるために徹底した清掃が必要となります。月に一度のメインテナンスでは必ず清掃を行いますが、自宅での毎日の清掃が一番重要です。
当院では矯正治療中の清掃に電動歯ブラシを使用することをお勧めしています。矯正治療専用のブラシアタッチメントなどもあり、性能も向上しています。家電量販店でも様々な種類がありますので矯正治療中の方は是非お試しください。


