下顎前歯の隙間をコンポジットレジンで改善した症例
執筆者:院長 歯科医師 永井伸頼
コンポジットレジンによる審美治療例(Before&After)と解説
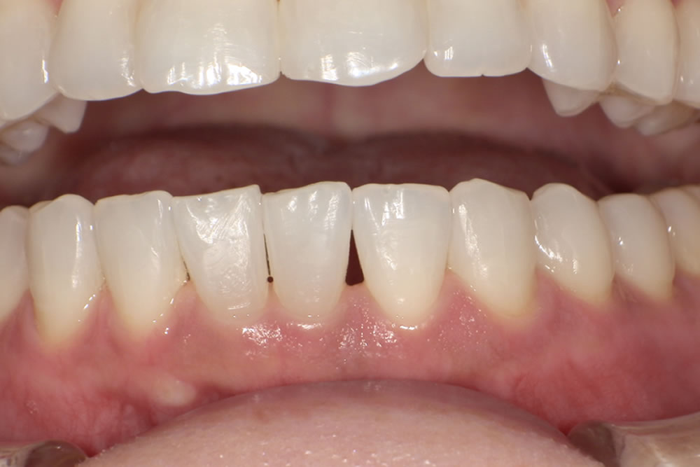
治療前

治療後

左側写真が初診時写真となります。下顎前歯部歯肉の退縮により歯と歯の間にすき間が出現してます。下顎前歯部の歯と歯の間にある歯槽骨は非常に薄く、炎症や過度な力で容易に吸収さてます。また加齢による歯槽骨吸収も多く、日常的によく見られるケースです。
このすき間は「ブラックトライアングル」と呼ばれます。ブラックトライアングルの修復方法としては、歯肉の再生療法も挙げられますが、難易度が高く、術後の長期安定性も不明確なことが予測されます。そのため、下顎前歯部のような歯肉の面積が狭い部位では再生療法適応範囲外となることがほとんどです。
したがって今回のようなコンポジットレジンによる修復方法をもちいて治すことが望ましいと考えます。修復方法の難易度も低く、長期安定性も高いことから優れた修復方法であると考えます。コンポジットレジンの質も向上してセラミック含有量が増加し、色調も優れ天然歯に近い色を出すことが可能です。
この方法の利点でもある、何度でも修復することが可能であるために、研磨や修復などのメインテナンスを継続すれ長期安定性も保つことが可能です。
| 年齢・性別 | 50代女性 |
|---|---|
| 治療期間・回数 | 1日・1回 |
| 治療費(税込) | 高強度接着性コンポジットレジン修復(2本) 44,000円 |


